Jaká je evoluce thylakoidů u sinic?
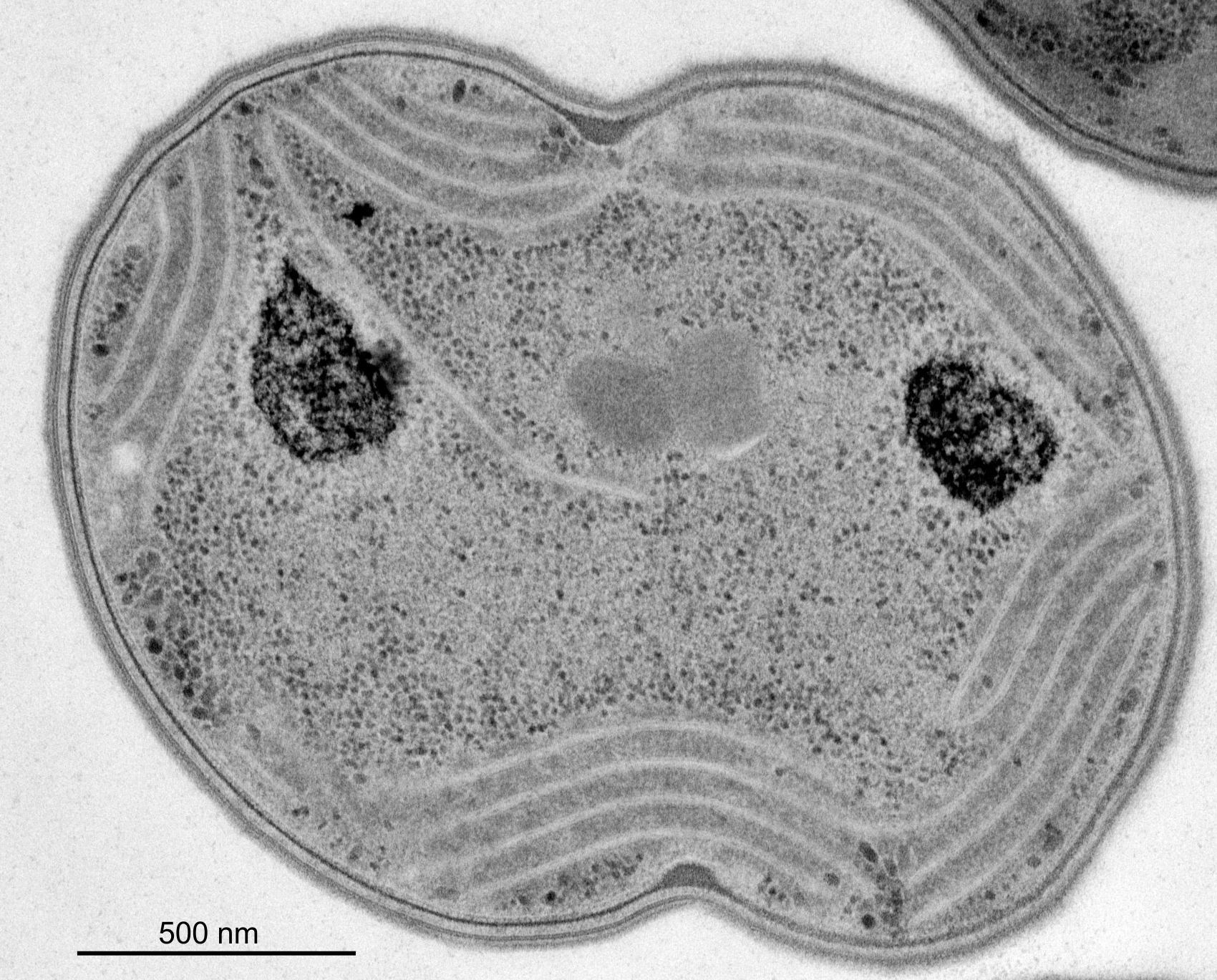
Fotosyntetické bakterie sinice se v historii Země staly zásadními organismy, které zodpovídají za dnešní podobu planety. Jsou to totiž „vynálezci“ kyslíkaté fotosyntézy, kterou dnes kromě sinic využívají i řasy a suchozemské rostliny. V procesu fotosyntézy hrají klíčovou roli membránové struktury thylakoidy, v nichž sídlí fotosyntetický aparát sinic, případně plastidů řas a rostlin, které právě ze sinic kdysi dávno vznikly. Proces fotosyntézy je dnes již poměrně dobře znám u různých typů sinic. Diverzita uspořádání membrán thylakoidů různých typů sinic, a spojení s mechanismy fotosyntézy, ale přitom zůstávají do značné míry neprozkoumané. Poslední souhrnná studie evoluční historie thylakoidů u sinic spatřila světlo světa asi před 15 lety, přestože od té doby velmi pokročil výzkum genomu sinic i jejich ultrastruktury v elektronovém mikroskopu.
Proto se Jan Mareš z Centra Algatech v Třeboni, Biologického centra AV ČR a Přírodovědecké fakulty Jihočeské univerzity a jeho kolegové rozhodli zpracovat dostupná data k ultrastruktuře thylakoidů a propojit je s fylogenezí sinic, založenou na genetických datech. V této studii použili ultrastrukturální data od více než 200 kmenů sinic, která spojili s fylogenetickou analýzou založenou na genu pro malou podjednotku ribozomální RNA.
Výsledky fylogenetické analýzy naznačují, že změny architektury thylakoidů v průběhu evoluce sinic v podstatě sledují směr fylogeneze tzv. housekeeping genů, tedy genů, jejichž proteiny jsou klíčové pro běžný provoz buňky, v tomto případě buňky sinice. Zároveň vyšlo najevo, že oproti dosavadním předpokladům nemá struktura thylakoidů valnou hodnotu pro taxonomii sinic. Výjimkou jsou v tomto směru případy, kdy sinice buď o thalkoidy zcela přišly anebo je mají paralelně uspořádané. Rovněž se ukázalo, že struktura thylakoidů je patrně limitována velikostí buňky sinice. U buněk, jejichž šířka je menší než 2 mikrometry, se nevyskytují složitě uspořádané struktury thylakoidu.
Kontakt: RNDr. Jan Mareš, Ph.D. (jan.mares at centrum.cz)
